Smile Gallery: Crowns & Bridges
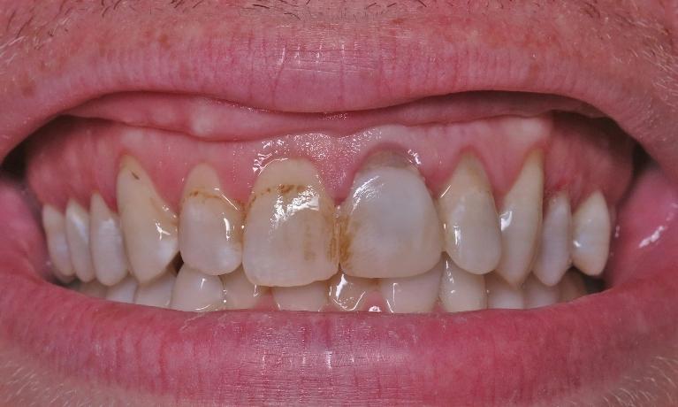
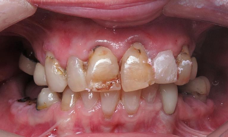
Before
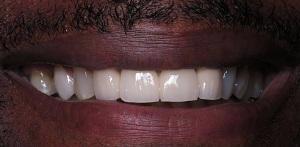
After
Crowns
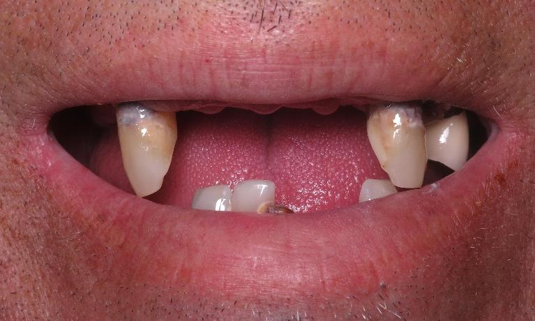
Before
After
Crowns
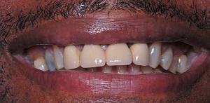
Before
After
Upper and Lower Crowns
Before
After
Crowns
Before
After
Crowns
Before
After
Crowns
Before
After
Crowns
Before
After
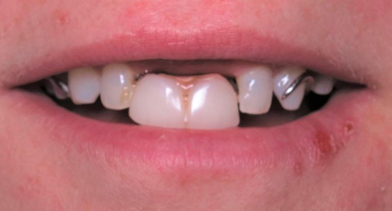
Partial
Before
After
Crowns
Before
After
Crowns
Before
After
Crowns
Before
After
Crown
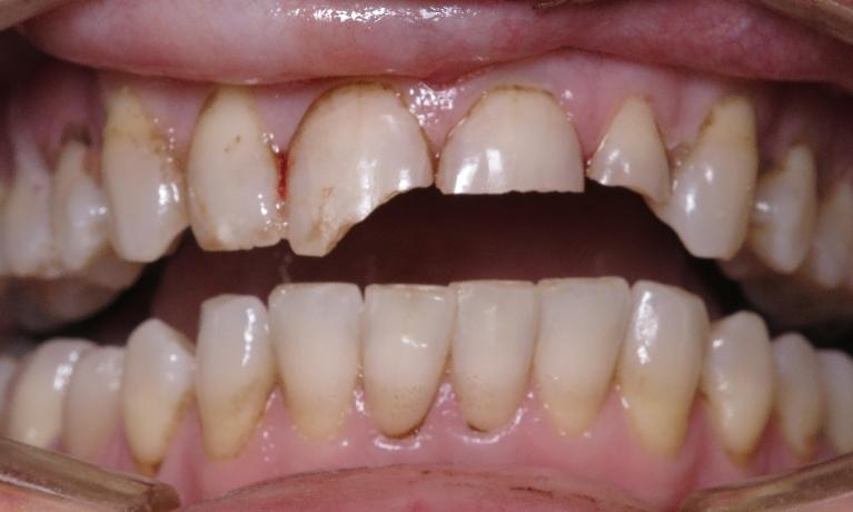
Before
After
Crowns
Before
After
Crown
Before
After
Porcelain Crown
Before
After
Dental Bridges
Before
After
Anterior Crowns
Before
After
Anterior Crowns