Skip to main content
Tooth-Colored Fillings
A healthy, beautiful smile starts here

Tooth-Colored Fillings | Dentist
Improve your smile today – call to schedule a consultation!
Claim Now!

Restoring Teeth, Renewing Health

At Havens Family Dental, conveniently located in Blacklick, OH, Dr. Kyle Hickman restores patient’s teeth with custom shaded tooth-colored composite restorations.

What Is Composite Material Made Of?

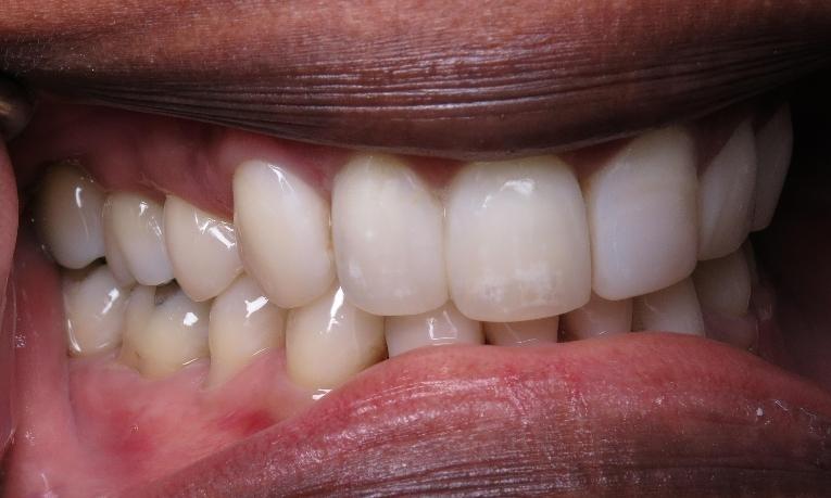
Composite resin fillings are made with plastic material that is safe and healthy for our patients. After the active decay is removed, the resin is placed in the affected area and seals perfectly to the shape of the natural tooth. This material is mercury free, stronger than amalgam, and a healthier option for our patients.

Out with The Old, In with The New

Many patients are concerned with silver mercury fillings that they had done years ago. Aside from leaving a dark spot in your smile, silver fillings are known to crack, leak, and corrode while inside of your mouth. We choose composite material because it is stronger and seals the tooth to protect it from further decay.

If you are thinking about having your silver fillings removed, at Havens Family Dental we can easily and safely replace old fillings with dental composite in one appointment. Not only are composite fillings more aesthetically pleasing, but they are also a higher quality material.

How Will My Appointment Go?

Composite fillings are an excellent choice when restoring teeth that have active decay. In one appointment Dr. Hickman can numb the area of the affected tooth, remove all active decay, and fill the space with composite material which seals the tooth completely.  

The composite material is put into the area of the tooth in layers. These layers are hardened with a special curing light to ensure the highest quality dental filling.

Cosmetic Dental Bonding

Dental bonding is also a very popular way to cosmetically enhance your beautiful smile at a low cost to you. Bonding uses the composite material to fill gaps, fix chips, or even enhance the shape or color of a tooth.

Bonding is also an excellent way to restore a tooth that is discolored. With an in-office custom shade to match surrounding teeth, Dr. Hickman is able to give a patient a smile transformation by adding composite material to a tooth. This can be done in one easy appointment!

Nervous about Treatment?

Anxiety about dental treatment is very common in patients. As always we offer nitrous oxide sedation, commonly known as laughing gas. We offer this complimentary service to all of our patients.

Scheduling Your Appointment

 Havens Family Dental offers early and late appointments for your convenience. Our highly skilled team is here to find a time that works best for you along with easing any concerns that you may have about your treatment.

Call today to schedule a free consultation if you are interested in Dr. Hickman restoring you teeth with composite fillings or bonding. 

Meet Our Doctors:

Dr. Derek O'Connor
Associate Dentist

Dr. Derek O’Connor is originally from Bourbonnais, Illinois, a small town south of Chicago. He attended Butler University for undergrad, where he majored in Biology and Chemistry while also playing wide receiver on ...

Dr. Alyssa Rassi
Associate Dentist

Dr. Rassi is originally from Cleveland, Ohio.  She studied biology and music during her undergraduate ...

Getting an appointment is fast and easy!
Get Started!